CRITICAL INFORMATION, AT THE MOMENT YOU NEED IT
Active imaging gives you information that enables critical decision-making.
Active imaging with intraoperative ultrasound (iUS) gives you the real-time information you need, helping you confirm or update your operative plan, make informed clinical decisions, and achieve your organ-sparing procedures.
Learn about our intuitively simple active imaging solutions, designed to reduce the iUS learning curve and make it easy to elevate your procedures.
Resection
Visualize hepatic and pancreatic tumors and surrounding anatomy throughout the procedure
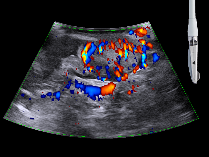
Active imaging supports liver and pancreas tumor resection procedures by helping you visualize complex anatomical variations and relationship to vascular structures, identify tumor location, define adequate margins of resection, and assess surgical planning.
Learn moreAblation
Visualize hepatic and pancreatic tumors and guide needle placements
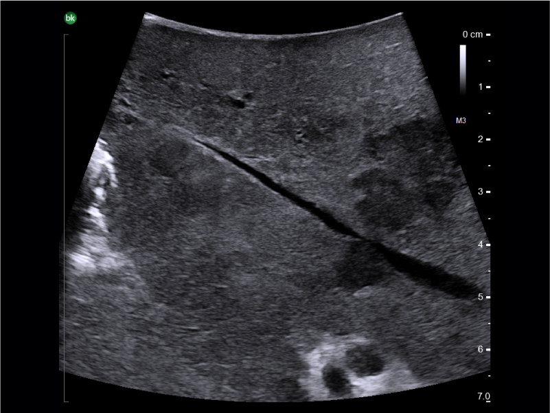
Active imaging supports liver and pancreas ablation procedures by helping you visualize lesions and blood vessels, identify healthy tissue vs. tumor, and guide and view needle placements.
Learn moreCholecystectomy
Non-radiating, fast laparoscopic imaging for biliary system procedures
Active imaging with real-time intraoperative ultrasound supports fast imaging of the biliary system and is non-radiating, helping you reduce radiation hazards to your patients and staff.
Learn moreOpen and minimally invasive approaches
A complete portfolio of solutions for open, minimally invasive, or combined procedures
Fully sterilizable, specialized transducers designed for biopsies, tumor resections, needle placements, and ablations.
Learn more
Up to

of surgical plans change when using
intraoperative ultrasound during hepatic resections1,2,3,4
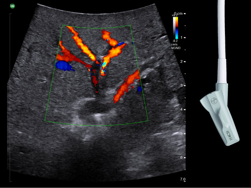
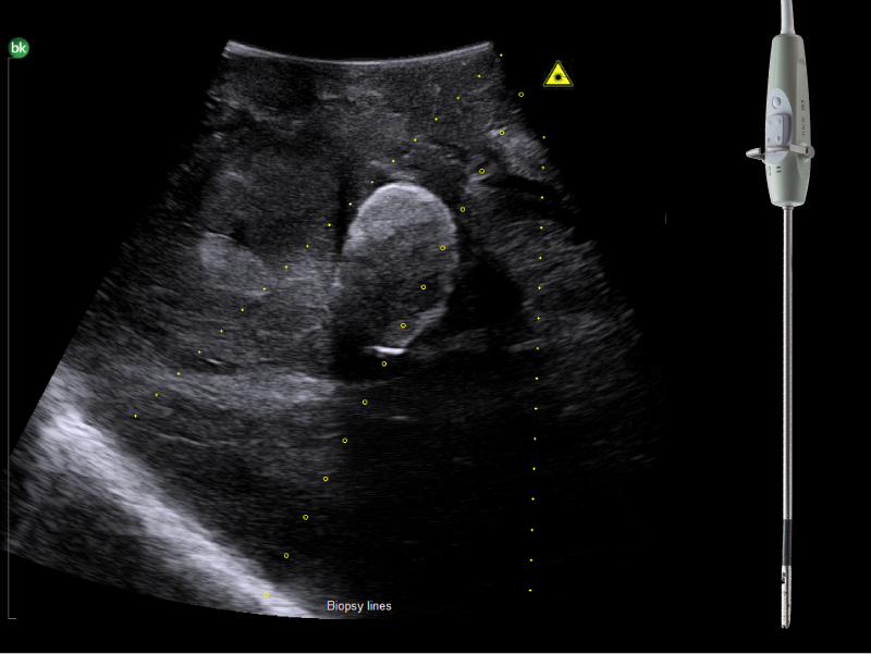
Liver mass, visualized with I-Shaped Transducer
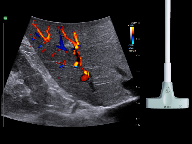
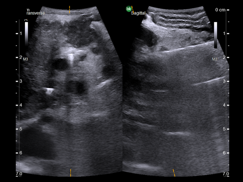
Pancreatic head mass, visualized with Biplane Transducer
Use of intraoperative ultrasound can influence
surgical decision-making in up to

of pancreatic resections5
DISCOVER THE NEW ![]()
FOR LIVER PROCEDURES AND MORE
Surgical Visualization and Guidance Systems

- Enhanced Visualization: Improved algorithms for greater details around lesion borders, and automated high-resolution image settings.
- Monitor Progress: Compare live images with previous scans simultaneously using Dual Live Compare and Picture in Picture modes.
- Surgeon Control: Remote control allows surgeon control of the image in the sterile field.
- Simple and Customizable UI: Intuitively simple, Tru-Sense™ touch screen with customized user profiles for Basic to Advanced usage.
- Adjustable Monitor: View images in portrait or landscape orientation, with monitor on an extendable, flexible arm for small spaces.
- On-Demand Videos: Instructional videos on the system to quickly refresh on image orientation and needle guide assembly.


- High-resolution, real-time images with superb anatomical details.
- Immediate, auto-optimized imaging using the No-touch Autogain and Auto Focus features.
- Up to two hours of plug-free imaging.
- Sterilizable remote control for convenient control of the system in the sterile field.
- Small system footprint to fit in the OR.







