Neurosurgery and Spine
ACTIVE IMAGING IS REAL-TIME VISUAL GUIDANCE FOR DECISION SUPPORT
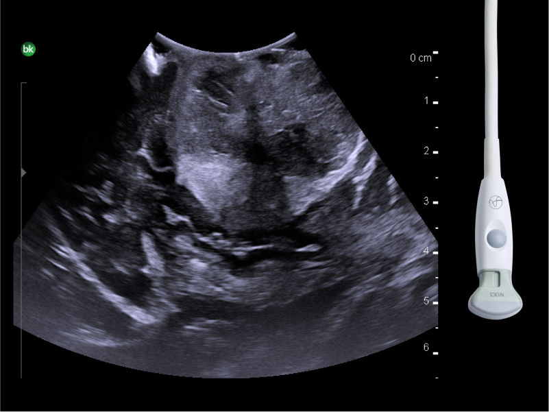
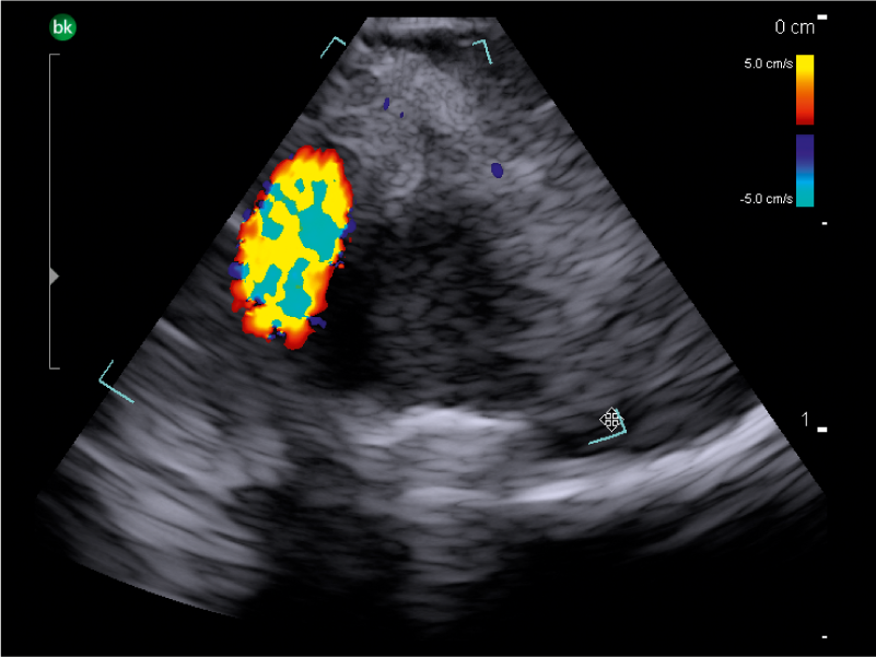
The only real-time intraoperative imaging modality
Scan instantaneously and repeatedly wth iUS, while iCT and iMRI scans interrupt the surgical workflow1 and require a set scan time.
Minimum radiation hazards to the patient
Unlike iCT, intraoperative ultrasound does not involve ionizing radiation.2
Comparable gross tumor resection rates to iMRI
In a recent article, iUS has demonstrated gross total resection (GTR) for High Grade Gliomas (HGG) that is not statistically different from iMRI and 5-ALA.3
(1) Coburger J, Nabavi A, König R, Rainer Wirtz C, Pala A. Contemporary use of intraoperative imaging in glioma surgery: A survey among EANS members. Clinical Neurology and Neurosurgery 163m 133-141 (2017).
(2) https://www.fda.gov/radiation-emitting-products/medical-imaging/ultrasound-imaging
(3) Mahboob S and Eljamel M. Intraoperative image-guided surgery in neuro-oncology with specific focus on high-grade gliomas. Future Oncology 13 (26) (2017).
DISCOVER THE NEW 
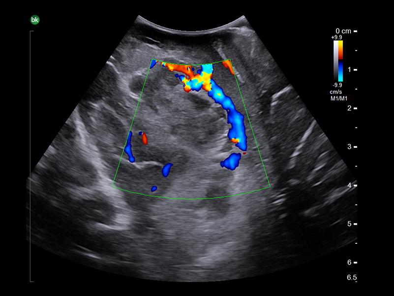
REAL-TIME VISUALIZATION HAS NEVER LOOKED THIS GOOD
Surgical Visualization and Guidance Systems

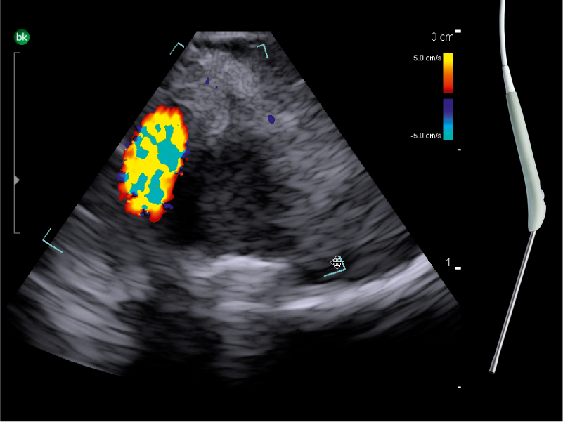
- Enhanced Visualization: Improved algorithms for greater details around lesion borders, and automated high-resolution image settings.
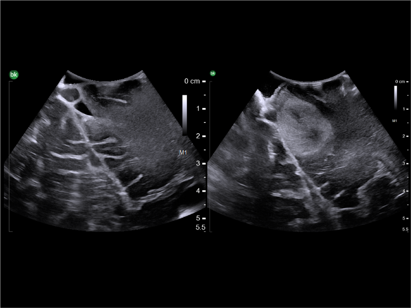
- Monitor Progress: Compare live images with previous scans simultaneously using Dual Live Compare, Picture in Picture, or Stored Image Compare.
- Neurosurgeon Control: Remote control and Smart Button™ on sterilizable transducers allow neurosurgeon control of the image in the sterile field.
- Simple and Customizable UI: Intuitively simple, Tru-Sense™ touch screen with customized user profiles for Basic to Advanced usage.
- Adjustable Monitor: View images in portrait or landscape orientation, with monitor on an extendable, flexible arm for small spaces.
- On-Demand Videos: Instructional videos on the system to quickly refresh on image orientation and needle guide assembly.


- Neurosurgeon Controlled: Sterilizable remote control for convenient operation of the system in the sterile field.
- Small Footprint: Scanner design integrates seamlessly into the OR.
- Simple & Easy to Use: Intuitive keyboard design.
* Disclaimers
The Minimally Invasive Transducer N20P6 has not been licensed by Health Canada or CE-marked; N20P6 is compatible with bkActiv and bk5000 software version 5.16.2 and higher.
The Minimally Invasive Transducer N20P6 is compatible with NICO BrainPath® (diameters 11-13.5 mm; lengths 50-95 mm), Vycor ViewSite™ Brain Access System (widths: 12-28 mm; heights: 8-20mm; lengths: 3-7cm), and Neuroendoport® (diameters greater than 13 mm; lengths: 5.5-8.5 cm).
Use of the Hockey Stick Transducer X18L5s for intraoperative (neuro) has not been CE-marked.
bkActiv is not available in all countries. Ask your local representative about your options.
Burr-Hole Transducer (N11C5s) has been cleared for adults and children (>2 - 12 years)
DIGITAL INTEGRATION WITH BRAINLAB
Surgical Visualization and Guidance’s active imaging solutions combined with Brainlab Navigation can be a powerful tool to provide critical information that helps neurosurgeons navigate procedures.
Brainlab Ultrasound Navigation Software provides updated images for navigation and enables real-time overlay of ultrasound imaging on preoperative MRI/CT, providing immediate information about brain shift. The digital transmission ensures no loss of ultrasound image quality.





