a magnifying glass
Neurosurgery

bk5000

Premium Ultrasound Imaging in Neurosurgical Procedures

Get the Information You Need – Fast

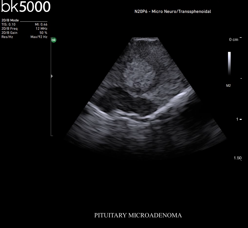
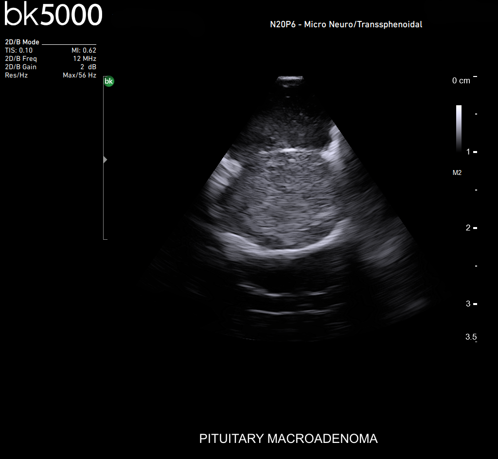
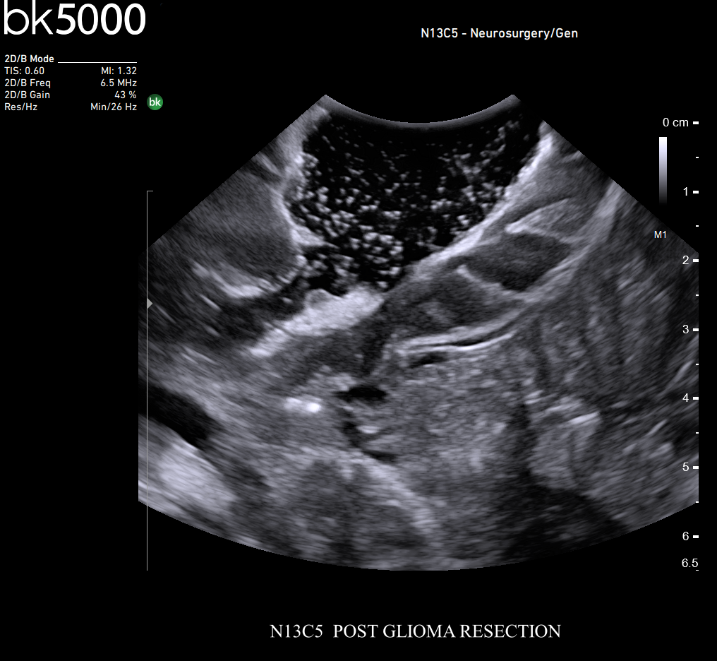
Ultrasound can improve neurosurgical procedures by helping you navigate and identify lesions and anatomical structures in real-time. This is particularly important as the data obtained from a preoperative CT or MRI scan can be outdated at the time of surgery. The bk5000 neurosurgical system provides the highest quality images that allow you to clearly see the margins of a lesion and to determine the best course of action. Using advanced graphics processing technology, this powerful system provides immediate, auto-optimized images that allow you to see the information you need, faster.

Transducers designed for Neurosurgery

The specialized, high-resolution, sterilizable neurosurgery transducers enable you to obtain detailed images of the brain and spinal cord. They have a convenient Smart™ button that lets you activate the transducer, then freeze, store or print the images at the press of a button. Disposable, easy-to-use needle guides assist with targeting lesions.

Digital Integration with Brainlab

Brainlab Ultrasound Navigation Software provides updated and accurate images for instant navigation and enables real-time overlay of ultrasound imaging on pre-operative MRI/CT providing immediate information about brain shift.

Ultrasound Navigation Software facilitates scanning and reconstruction of 3D ultrasound data faster than intraoperative MR and CT and the digital transmission ensures no loss of ultrasound image quality.

*Burr-Hole Transducer (N11C5s) has been cleared for adults and children (>2 - 12 years).