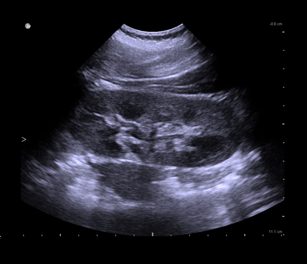
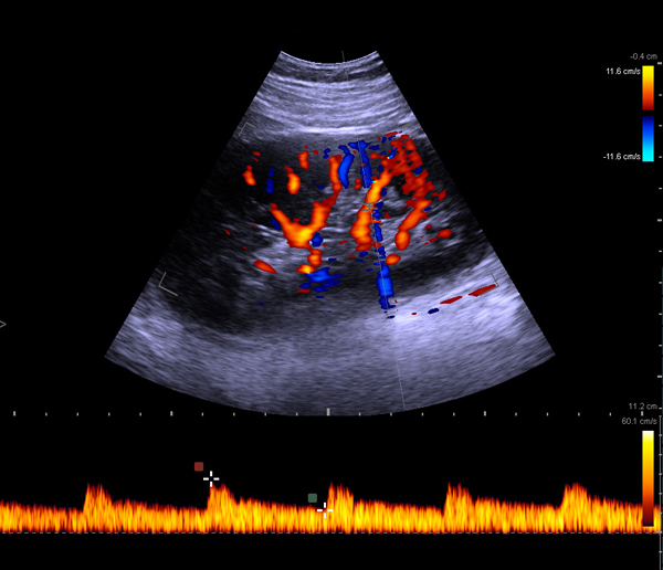
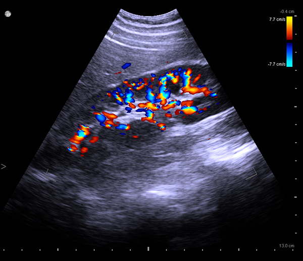
Ultrasound for Kidney
BK Medical systems provide high-resolution image quality for advanced kidney imaging, measurement, and biopsy. See anatomical details and variations and find kidney stones. Visualize and measure blood flow with highly sensitive color Doppler.
![]() |
![]() |
![]() |


