Robotic-Assisted Surgery
ROBOTICALLY CONTROLLED
INTRAOPERATIVE IMAGING IN REAL-TIME
Intraoperative ultrasound helps surgeons locate and visualize anatomical abnormalities in real-time with great precision. Locate and assess benign and malignant lesions, key arteries, veins, and other anatomical structures with Surgical Visualization and Guidance’s high-resolution active imaging.
The bk5000 and bkActiv ultrasound systems and the Rob12C4 Robotic Transducer allow you to easily reach and clearly see regions of interest to achieve the best outcomes for your patients.
The Rob12C4 Robotic Transducer does more than Partial Nephrectomy. The high-resolution ultrasound transducer is designed to support robotics programs in a variety of procedures.
REACH MORE. SEE MORE.
TREAT MORE.
Confidently visualize critical anatomy with excellent image quality and a wide field of view
Gain access to difficult-to-reach areas with improved highly flexible cable and small transducer profile
Designed for OR convenience:
- Surgeon control of the ultrasound transducer using ProGrasp™ Forceps
- Seamless integration of ultrasound images with the TilePro™ multi-input display
- Easy cleaning and sterilization options

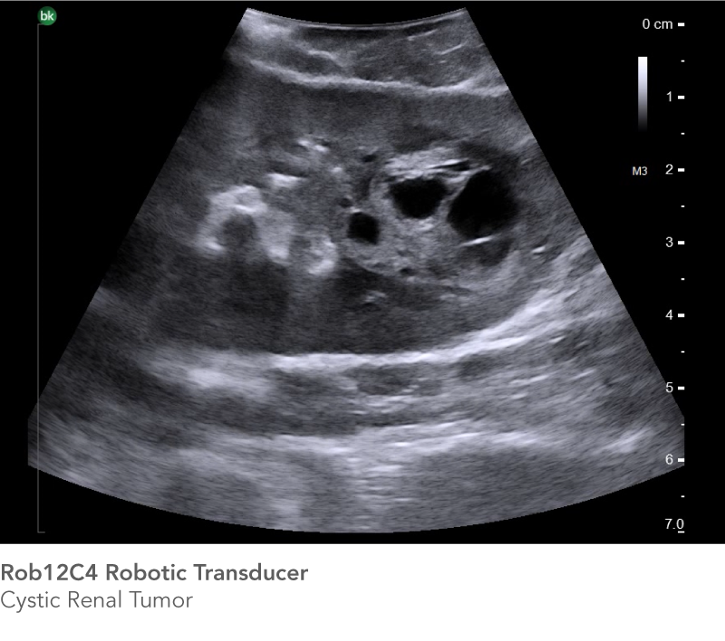
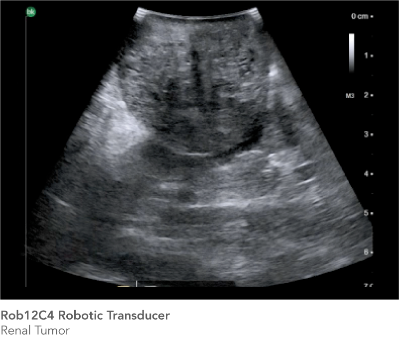
Partial Nephrectomy
See the information you need to achieve successful outcomes
Real-time intraoperative ultrasound helps you confirm tumor borders and depth, and minimize warm ischemia time, positive margins, damage to arteries, and resection of healthy tissue. The Rob12C4 transducer features a highly flexible cable and a small transducer profile, while the bk5000 offer's outstanding image quality with excellent anatomical details, enabling you to reach difficult-to-access anatomy and see the information you need to achieve successful outcomes.
Hepatobiliary Surgery
Reach critical information and compensate for no haptic feedback with active imaging
Intraoperative ultrasound can assist in identifying 10-25% more hepatic lesions than with preoperative imaging alone.* Use intraoperative ultrasound (iUS) to support liver resections, distal pancreatectomies, and more. iUS helps to adapt surgical plans, assess progress, and perform organ-sparing procedures. The active imaging provides real-time information to understand complex anatomical variations, tumor locations, and invasion of vasculature, as well as help define an adequate margin of rection. At the end of the procedure, active imaging can provide certainty and help confirm results.
* D’Hondt M, Vandenbroucke-Menu F, Préville-Ratelle S, et al. Is intra-operative ultrasound still useful for the detection of a hepatic tumour in the era of modern pre-operative imaging? HPB. 2011;13(9):665-669. https://www.sages.org/publications/guidelines/guidelines-for-the-use-of-laparoscopic-ultrasound/
Surgical Visualization and Guidance
bk5000
- High-resolution, real-time images with superb anatomical details.
- Immediate, auto-optimized imaging using the No-touch Autogain and Auto Focus features.
- Up to two hours of plug-free imaging.
- Sterilizable remote control for convenient control of the system in the sterile field.
- Small system footprint to fit in the OR.
- Seamless integration with Tile Pro™ multi-input display*
*Trademark of Intuitive Surgical, Inc.


- Enhanced Visualization: Improved algorithms for greater details around lesion borders, and automated high-resolution image settings.
- Monitor Progress: Compare live images with previous scans simultaneously using Dual Live Compare and Picture in Picture modes.
- Surgeon Control: Remote control allows surgeon control of the image in the sterile field.
- Simple and Customizable UI: Intuitively simple, Tru-Sense™ touch screen with customized user profiles for Basic to Advanced usage.
- Adjustable Monitor: View images in portrait or landscape orientation, with monitor on an extendable, flexible arm for small spaces.
- On-Demand Videos: Instructional videos on the system to quickly refresh on image orientation and needle guide assembly.
- Seamless integration with Tile Pro™ multi-input display*
*Trademark of Intuitive Surgical, Inc.
