bk5000
A New Level Of Precision And Access During Robotic-Assisted Procedures
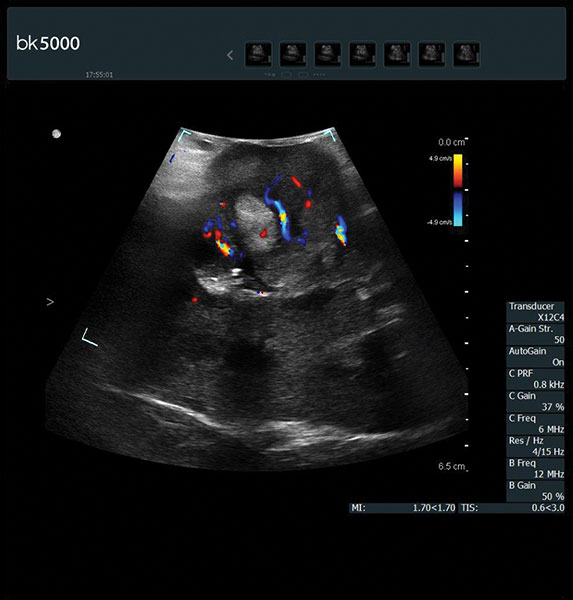
Ultrasound helps surgeons locate and visualize tumor margins, key arteries and other anatomical structures quickly and with greater precision during robotic-assisted surgeries.The bk5000 ultrasound system’s advanced technology can deliver exceptional images with very high contrast and spatial resolution, giving you the information you need to make critical decisions during surgery.
Take Control Of Intraoperative Imaging
The bk5000 ultrasound system is uniquely designed to be a member of your OR team, and help you to focus uninterrupted on the procedure. You have full control of the ultrasound imaging as the system can be operated directly from the surgeon’s console. Very high contrast resolution images can be obtained immediately with minimal adjustment, allowing you to quickly get the information you need. The system is mobile and maneuverable with easy plug-and-play DVI for seamless integration of images with TilePro™ multi-input display*.
Superb Color Doppler And Unique 3D Visualization
Extremely sensitive color Doppler with superb spatial resolution identifies arterial and venous blood supply to the tumor. This is especially important in procedures where selective clampingis needed. Unsurpassed 3D imaging enables easier identification of key anatomical landmarks and dissection planes.
*Trademark of Intuitive Surgical, Inc.
The unique Drop-In transducer enables access and visualization of complex organs and difficult-to-access anatomy in real-time. For example, in kidney navigation and difficult-to-access endophytic and exophytic tumors, the small, compact, curved linear array Drop-In transducer enables a wider field of view for faster examinations. The specially-designed fin grasped by the robotic arm ensures maximum control and organ contact so you can get the information you need.