bk5000
Designed for Surgery
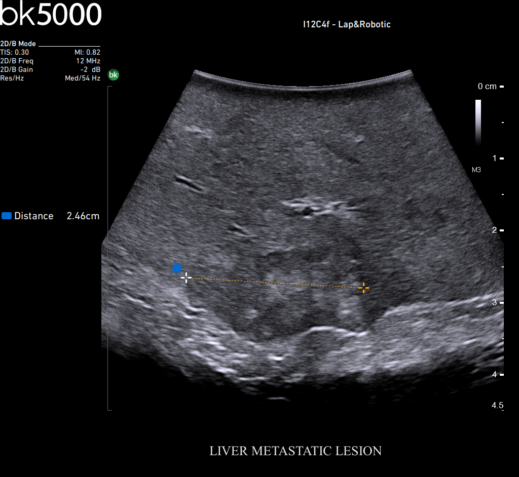
Ultrasound can advance intraoperative surgical procedures by helping you navigate and identify lesions and anatomical structures in real-time. This is particularly important as the data obtained from a preoperative CT or MRI scan can be outdated at the time of surgery.
The bk5000 surgical system provides the highest quality images that allow you to clearly see the margins of a lesion and to determine the best course of action. Using advanced graphics processing technology, this powerful system provides immediate, auto-optimized images that allow you to see the information you need, faster.
Sterilizable remote control for convenient control of the system in the sterile field.
