IMAGING TO GUIDE CHOLECYSTECTOMIES
Discover the clinical benefits of active imaging with intraoperative ultrasound for laparoscopic cholecystectomy procedures. Using bkActiv and the Advanced Laparoscopic Transducer, surgeons can visualize anatomy and monitor progress as many times as needed during the procedure.
Watch this video to see how it works.
THE VALUE OF iUS IN CHOLECYSTECTOMIES
iUS is beneficial for cholecystectomies due to its safety, quick and repeatable imaging capabilities and ability to detect choledocholithiasis and enable visualization of biliary tract anatomy.
SAFETY
iUS has minimal safety risks as it is non-irradiating and does not required cannulation .1-3
QUICK, REPEATABLE IMAGING
iUS can be used dynamically throughout dissection adding minimal time to a cholecystectomy procedure. iUS can also repeated, helping to assess common bile duct integrity at the end of the procedure.1-5
CHOLEDOCHOLITHIASIS DETECTION
iUS helps differentiate between sludge, stone, polyps, cysts, and tumors when determining if there is a presence of gallstones in the common bile duct.5.6
BILIARY TRACT VISUALIZATION
iUS uses color flow doppler to help differentiate between vessels and ducts and is overall effective at imaging difficult cases such as inflammation or fibrosis .1.4 - 6
When helping to detect choledocholithiasis, iUS resulted in a 90-96% sensitivity rate and 100% specificity rate.7
iUS is highly effective in visualizing biliary anatomy, which can be abnormal in as high as 40% of patient cases.8

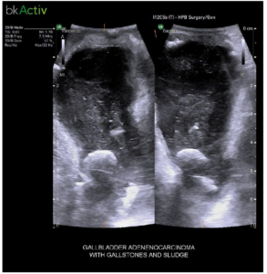
Gallbladder Adenocarcinoma with Gallstones and Sludge

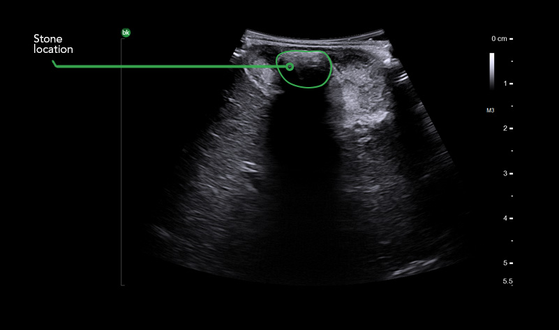
Gallstone

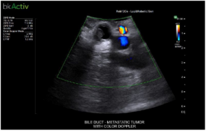
Bile Duct – Metastatic Tumor With Color Doppler
iUS is comparable to intraoperative cholangiography for imaging cholecystectomies.9
Learn more by watching our Laparoscopic Cholecystectomy Academy learning modules.
CASE STUDY
This case study walks through the steps of using intraoperative ultrasound in a laparoscopic cholecystectomy procedure performed by Mr. Somaiah Aroori, MB BS, MS (Surg), FRCS (Gen Surg), a consultant hepatobiliary and renal transplant surgeon at Derriford Hospital and University Hospital Plymouth in the UK. Throughout the procedure, bkActiv provided real-time information that cannot otherwise be obtained from preoperative imaging.
Download PDF about active imaging for biliary procedures.
Talk to us about active imaging for cholecystectomy procedures.
-
1. Machi, J. (2009). The routine use of laparoscopic ultrasound decreases bile duct injury: a multicenter study. Surgical Endoscopy Journal, 23, 384-388.
2.Jamal, KN. (2016). Meta-analysis of the diagnostic accuracy of laparoscopic ultrasonography and intraoperative cholangiography in detection of common bile
duct stones. Royal college of surgeons, 98, 244-249.
3.Recommendation for cholecystectomy protocol based on intraoperative ultrasound – a single-centre retrospective case-control study (nih.gov)
4.Dili, A. (2017). Laparoscopic ultrasonography as an alternative to intraoperative cholangiography during laparoscopic cholecystectomy. World Journal of
Gastroenterology, 23, 5438-5450.
5.Intra-operative and laparoscopic ultrasound - Surgical Treatment - NCBI Bookshelf (nih.gov)
6.Intraoperative Sonography of the Biliary System : American Journal of Roentgenology : Vol. 177, No. 2 (AJR) (ajronline.org
7.https://www.sages.org/publications/guidelines/guidelines-for-the-use-of-laparoscopic-ultrasound/
8.Laparoscopic intraoperative biliary ultrasonography: findings during laparoscopic cholecystectomy for acute disease - PubMed (nih.gov)
9. https://www.sages.org/publications/guidelines/guidelines-for-the-use-of-laparoscopic-ultrasound/
*Where minimal time equates to ~5 minutes. The information included is meant to support the benefits of iUS as an imaging modality and is based on available literature. This is not product specific.