a magnifying glass

 

 

ABLATION

Visualize hepatic and pancreatic tumors and guide needle placements

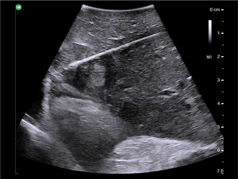
Liver metastatic lesion, ablation procedure, visualized with Laparoscopic Transducer

The Assurance You Need for Minimally Invasive Procedures

Intraoperative ultrasound can assist in identifying 10-25% additional

hepatic lesions than with preoperative imaging alone1,2
Learn more >

Liver mass, post-ablation, visualized with Advanced Laparoscopic Transducer

Use intraoperative ultrasound to:

  • Enable visualization of disease staging at the time of surgery with excellent image quality.
  • Guide and view needle placements in real-time.
  • Verify your planned results by assessing pre- and post-ablation images together.

 

Advanced Laparoscopic Transducer I13C3f*

  • Plan and target tumor biopsies and ablations with patented laser technology
  • Achieve preferred insertion angle on up to two needles with proprietary channel design

  1. D'Hondt M, Vandenbroucke-Menu F, Préville-Ratelle S, et al. Is intra-operative ultrasound still useful for the detection of a hepatic tumor in the era of modern pre-operative imaging? HPB. 2011;13(9):665-669. doi:10.1111/j.1477-2574.2011.00349.x
  2. https://www.sages.org/publications/guidelines/guidelines-for-the-use-of-laparoscopic-ultrasound/

*I13C3f has not been licensed by Health Canada