a magnifying glass

 

OPEN AND MINIMALLY INVASIVE APPROACHES

A complete portfolio of solutions for open, minimally invasive, or combined procedures

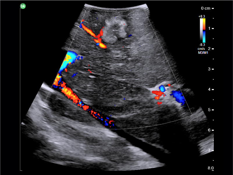
Liver metastatic lesion with color Doppler, visualized with Laparoscopic Transducer

EXPLORE THE ADVANCED LAPAROSCOPIC TRANSDUCER I13C3f*
3D INTERACTIVE MODEL

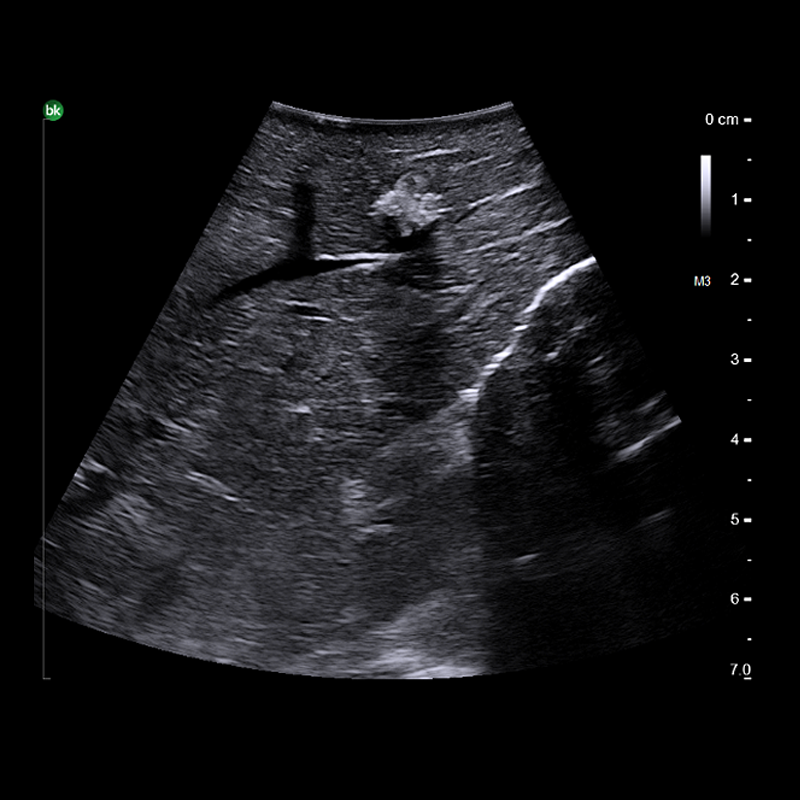
Hyperechoic Metastatic Liver Lesion with Acoustic Shadowing

Active imaging with intraoperative ultrasound supports critical decision-making in open or minimally invasive tumor resections.

  • Enable visualization of disease staging at the time of surgery with excellent image quality
  • Visualize complex anatomical variations and identify tumor location
  • Define adequate margins of resection
  • Guide and view needle placements
  • Assess surgical planning and check for vessel patency at the end of the procedure

EXPLORE THE ROB12C4 ROBOTIC TRANSDUCER
3D INTERACTIVE MODEL

PERFORMANCE THAT COUNTS

Fully sterilizable, specialized transducers, no matter your approach

*I13C3f and Rob12C4 have not been licensed by Health Canada